Dentiste Saint Thibault des vignes 77400 - Docteur Benureau
Implantologie - Parodontologie - Seine et marne - 77 - Lagny sur Marne
10 Place Claude Monet, 77400 SAINT THIBAULT DES VIGNES
+33 1 60 35 10 03

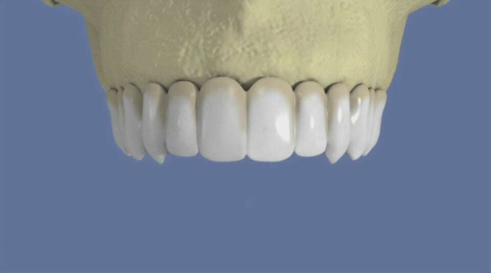
Maxillaire : bridge vissé sans fausse gencive


video-play-icon

Articles similaires

Derniers articles

Greffe gingivale libre la technique de l’autogreffe

18 Déc 2024

La résection apicale

18 Déc 2024

Remplacement d'un amalgame par un inlay

18 Déc 2024

Catégories