La gouttière occlusale est un dispositif prothétique empêchant les dents du haut d'entrer en contact avec les dents du bas. Cet outil en résine dure ou molle, porté plus généralement la nuit, mais aussi dans certains cas le jour permet également d’empêcher le bruxisme nocturne et ainsi de prévenir l’abrasion des dents.
Blog - Page 8
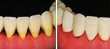
La rétraction des gencives suite au traitement parodontal est normale. Elle signe le retour à un état sain.
La résection apicale est une intervention consistant à traiter une infection de manière chirurgicale en retirant l’extrémité de la racine d’une dent et le tissu osseux infecté (kyste ou granulome). Cette intervention peut être prise en charge par le Sécurité Sociale.
La mylolyse ou Lésion cervicale d'usure est un défaut de la dent qui n'est pas lié à la carie. Elle se caractérise par une cavité située dans la partie cervicale de la dent c'est-à-dire au niveau de la jonction entre la couronne et la racine. Cette lésion est brillante, dure au sondage et peut prendre une teinte brune.
80% de la population adulte est touchée par les maladies parodontales. La maladie parodontale est la plus grande cause de pertes dentaires.
Elle est obligatoire lorsque le nerf est atteint et elle est indispensable pour faire cesser les douleurs.
Une mobilité des dents signe une perte du support parodontale.
Pour aider l’os à se régénérer il est nécessaire de l’aider et de le guider à l’aide de matériau de comblement.
L'ostéo-intégration est un phénomène de soudure entre un os vivant et un métal (titane). Cette soudure se fait par l'intermédiaire de l'oxyde de titane qui recouvre la surface de l'implant.
Vous venez de subir une intervention chirurgicale. Il est important prendre connaissance des conseils suivants :
Vous allez subir une chirurgie. Il est important de prendre connaissance de ces consignes et de les suivre.
Lorsque la dent est retirée, il peut arriver qu’une partie de l’os alvéolaire l’entourant soit perdue (à cause d’une infection par exemple). Il est souvent nécessaire de régénérer cet os pour poser l’implant dans de bonnes conditions.















